Hip Replacement Surgery

  • Home
  • Hip Replacement Surgery


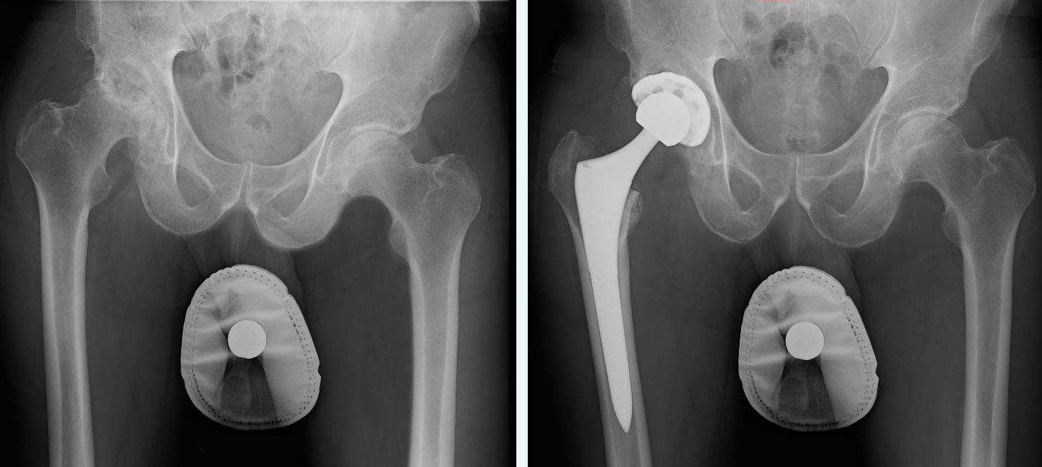
Hip replacement surgery, also known as hip arthroplasty, is a medical procedure primarily prescribed for individuals experiencing chronic hip pain, hip arthritis, limping, or lower extremity weakness. This surgical intervention becomes necessary when the hip joint has suffered damage, typically due to degenerative conditions or traumatic injuries. The ultimate goal of hip replacement surgery is to restore joint function and mobility by replacing the damaged hip joint with artificial implants.

Minimally Invasive Hip Replacement Surgery

About Hip Replacement Surgery

Orthopedic surgeons typically recommend this surgery to patients who are grappling with severe hip joint arthritis or necrosis, which has rendered them bedridden due to unbearable pain and instability in the joint. During the surgical procedure, only the affected portions of the hip joint are removed, whether that entails a partial or complete joint replacement.


The overarching objective of hip replacement surgery is to enable individuals to regain their ability to engage in daily activities and exercise without the hindrance of pain, ultimately improving their quality of life.

image